インプラントで快適な食生活を
インプラントで快適な食生活を

【予約制】
インプラント治療に関するご相談を
無料で承っております。

tel

0538-24-8118

診療時間 10:00〜19:00

Web予約をする

インプラント 料金 料金
インプラント 料金 料金

症例

インプラント症例
治療内容 60代男性 重度虫歯を抜歯しインプラント埋入
期間 3日間(インプラント埋入)
費用 990,000円
(インプラント2本+被せ物4本)
注意点/副作用 外科処置が必要・全身状態によりできない場合がある。
インプラント症例
治療内容 60代男性 抜歯しインプラント埋入
期間 抜歯+インプラント埋入+仮歯装着まで1回、3か月後最終被せ物装着
費用 2,690,000円
(インプラント5本+被せ物12本)
注意点/副作用 外科処置が必要・全身状態によりできない場合がある。
インプラント症例
治療内容 右上前歯を抜歯しインプラント埋入
期間 約2ヵ月
費用 385,000円
(インプラント【被せ物、手術代、仮歯含む】275,000円+骨再生、歯肉再生110,000円)
注意点/副作用 外科処置が必要・全身状態によりできない場合がある。
インプラント症例
治療内容 70代女性
期間 約2ヵ月
費用 275,000円
(インプラント+被せ物)
注意点/副作用 外科処置が必要・全身状態によりできない場合がある。
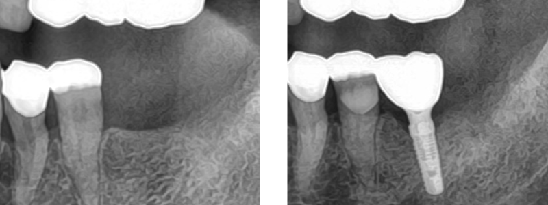
インプラント症例
治療内容 60代男性 割れていた歯を抜歯しインプラント埋入
期間 約2ヵ月
費用 385,000円
(インプラント275,000円+骨再生100,000円)
注意点/副作用 外科処置が必要・全身状態によりできない場合がある。

CTによる安全性の検査

インプラントポイント

歯科用CTを用いて、骨の量、神経、血管の走行を確認します。これにより安全性が格段に向上します。

シミュレーションによるわかりやすい説明

インプラントポイント

シミュレーションソフトを用いることで、1mm単位で正確な位置にインプラントを埋入します。神経、血管を損傷するリスクを極力低減します。

地域の皆様により良い医療を身近に

インプラントポイント

インプラントは歯を失ってしまった際に、第一選択となる治療です。違和感がない、隣の歯を削らないなどの大きな利点があります。しかし保険適用ではない為、費用が高額になります。
当院では可能な限り価格を抑えて、地域の皆様により良い医療を提供したいと考えております。

セラミックで美しい仕上がりに

インプラントポイント

当院ではセラミックの中のジルコニアという材料を用いています。
ジルコニアは人工ダイヤモンドとも言われ、強度があり、透明感があり美しい仕上がりになります。

【予約制】
インプラント治療に関するご相談を
無料で承っております。

tel

0538-24-8118

診療時間 10:00〜19:00

Web予約をする

インプラント治療のこだわり
インプラント治療のこだわり

1.歯科用CTによる精密検査 2.シミュレーションソフトの活用 3.見た目へのこだわり 4.10年間の長期保証期間 5.骨造成でインプラントを可能に インプラント治療のこだわり
1.歯科用CTによる精密検査 2.シミュレーションソフトの活用 3.見た目へのこだわり 4.10年間の長期保証期間 5.骨造成でインプラントを可能に インプラント治療のこだわり

インプラントについて
インプラントについて

無料相談実施中

症例

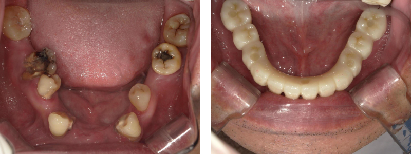
インプラント症例
治療内容 下顎オールオン4
期間 半年
費用 2,650,000円
リスク・副作用 外科処置が必要・神経損傷・治癒不全
インプラント症例
治療内容 上顎オールオン6
期間 半年
費用 2,970,000円
注意点/副作用 外科処置が必要・全身状態によりできない場合がある。

費用について
費用について

費用(税込)

インプラント(骨再生込み) 275,000円
かぶせ物 110,000円〜
検査代 5,500円
オールオン4 2,750,000円
オールオン6 3,300,000円

※インプラントの費用の中には、「手術代」「薬代」「麻酔代」「型取り代」「消毒代」が含まれています。
骨再生は、検査を行い骨が不足している方に必要になります。

お支払い方法(自由診療)

・現金(一括払い) ・クレジットカード(分割可)
・銀行振り込み ・デンタルローン
  • 現金(一括払い)
  • クレジットカード(分割可)
  • 銀行振り込み
  • デンタルローン

【予約制】
インプラント治療に関するご相談を
無料で承っております。

tel

0538-24-8118

診療時間 10:00〜19:00

Web予約をする
カウンセリング 検査 手術 被せ物
カウンセリング 検査 手術 被せ物
カウンセリングルーム キッズルーム オペ室 ららぽーと内
カウンセリングルーム キッズルーム オペ室 ららぽーと内

よくある質問
よくある質問

無料相談受付中
無料相談受付中

歯に関するお困りごと、
ご相談はお気軽にお問い合わせください。

Web予約をする

磐田さくら歯科

住所 〒438−0801
静岡県磐田市高見丘1200
ららぽーと磐田2階(ユニクロの隣)
電話番号 0538-24-8118
アクセス JR磐田駅から車で15分
駐車場 有り
(ららぽーと磐田 駐車場をご利用ください)

診療時間(10:00〜19:00)

診療時間

日・祝:インプラント手術等のみ