親知らず
WISDOM TOOTH
患者様のニーズに合わせた治療プランのご提案が可能です。
-

-
以下に当てはまる方は、磐田さくら歯科までご相談ください。
- 親知らずを抜きたい
- 斜めに生えていたり、完全に埋まっている
- 複数本まとめて抜歯したい
- その日のうちに親知らずを抜きたい
- 大学病院を紹介された
抜歯実績 ![]() |
||
|---|---|---|
| 2023年 | 2024年 | 2025年 |
| 1,202本 | 1,446本 | 3,042本 |
埋伏歯 抜歯実績 ![]() |
||
|---|---|---|
| 2023年 | 2024年 | 2025年 |
| 288本 | 489本 | 983本 |
親知らずでお困りごとがありましたら、医療法人社団 成慶会 磐田さくら歯科 にご相談ください。
親知らずを抜かないことによるリスク
1.親知らずの手前の歯に悪影響を及ぼす
-

-
親知らずが斜めに生えていたり、虫歯になっていたりすると、手前の歯に悪影響を及ぼします。斜めに生えた親知らずが、手前の歯を押して歯並びや咬み合わせがずれてしまったり、清掃が行き渡らずに手前の歯を虫歯にしてしまうことが原因です。 そういったリスクがあると判断した場合は、前向きに親知らずの抜歯を考えます。
2.親知らずが虫歯や歯周病になってしまうリスク
-

-
親知らずは、奥に生えているため、歯ブラシが届かずに虫歯や歯周病になるリスクが高いです。すでに虫歯になっていたり、親知らずのところだけ歯周炎が進んでいるケースがあるので、そういったときは前向きに抜歯を考えます。
難症例に対応可能
長生き日本で、毎日楽しく生きるためのひとつに「歯」の健康があります。 歯は体の健康だけでなく、心にも大きく影響します。 当院では、皆さんに納得してもらえる、安心した治療が受けられるよう努力し、心から「ここに来て良かった」と思ってもらえるよう、質の高い最善の歯科治療を行っていきます。
-

-
親知らずが完全に歯茎に埋まっている
-

-
親知らずが斜めに生えている
-

-
親知らずが半分だけ出てきている
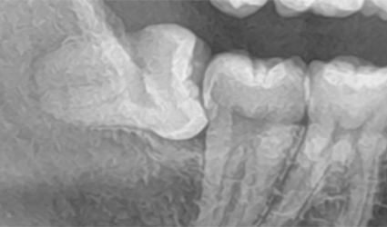
親知らずが斜めに生えている症例
- 抜歯前のレントゲン写真

- 抜歯後のレントゲン写真

親知らずが斜めに生えている症例
- 抜歯前のレントゲン写真

- 抜歯後のレントゲン写真

親知らずの抜歯料金と通院回数
親知らずの抜歯で気になるのは、治療回数や期間、金額だと思います。 大体の金額と期間はこちらのようになります。
1回目初診

レントゲン、CT撮影(まっすぐ生えている簡単なケースはその日に抜歯することがあります)
2回目抜歯

費用は保険適用(3割負担)で2,000~10,000円
3回目消毒
消毒をして化膿しないようにします
4回目抜糸
最大限の痛みへの配慮
-

-
抜歯の際は、麻酔を効かせますので痛みを感じることはありません。 さらに、注射の麻酔の前に表面麻酔を効かせますので、針をさす時の痛みを軽減するようにいたします。 痛みがほとんど出ないように配慮いたしますので、ご安心ください。
親知らずの抜歯ついてよくあるご質問
- 親知らずは抜かないといけないですか?
- 親知らずがまっすぐ生えており、清掃が行き届いていれば、ほとんどは抜く必要はありません。斜めに生えていて、歯並びや咬み合わせ、虫歯など他の歯に悪影響を与えそうなときは、前向きに抜歯を考えております。 また、親知らずが完全に埋まっている場合でも、細菌が入ってしまう隙間はあるので、痛みや腫れといった症状を引き起こすことがあります。
- 痛みと腫れ以外の症状はありますか?
- 喉まで炎症がいってしまうと、喉の痛さや飲み込みづらさを感じます。
- 痛みがあるのですが、その日のうちに抜いてもらえますか?
- 痛みが出ていると炎症が起きている状態ということです。炎症がある状態で抜歯をしようとしても、麻酔が効きにくかったり、炎症が更に強くなる可能性が高いです。ですので、 まずは抗生物質で炎症を抑えてから抜歯を行います。
- 大学病院をすすめられたのですが、 抜歯してもらえますか?
- 可能です。斜めに生えていたり完全に埋まっているような難症例の抜歯も対応しておりますので、ご安心ください。
- 親知らずを抜いたら腫れますか?
- 埋まっている親知らずは、抜歯後に腫れることが多いです。腫れの度合いは翌日、翌々日がピークですが、抜歯後2週間以内に大切な用事がある場合は、用事が終わった後の抜歯をおすすめしております。
- 神経に近い親知らずでも抜いて大丈夫ですか?
- 親知らずが下顎の血管に近かったり、接している場合があります。そういった親知らずを抜くと、数%ほどの確率でマヒが残ることがあります。マヒが続く期間にも個人差がありますが、半年程度でかなり回復することが多いです。 磐田さくら歯科では、難しい親知らずの抜歯前にはCTを撮影し、親知らずの状況とリスクを把握しますのでご安心ください。


